|  | 
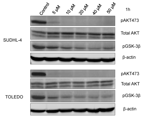
| Figure 5: SF1126 potently inhibits phosphorylation of Akt and GSK-3ß. SUDHL-4 and TOLEDO cells were untreated or treated with SF1126 at 5 µM, 10 µM, 20 µM, 40 µM and 50 µM for 1-hr. Cells were collected for protein isolation. 50 µg of total protein from each lysate was resolved by SDS-PAGE and immunoblotted with antibodies specific for pan-Akt, phosphorylated Akt (Ser473) and phosphorylated GSK-3ß (Ser9). ß-actin was used as a loading control. |