|  | 
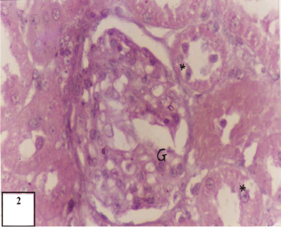
| Figure 2: Light Micrographs of rat kidney treated with Etoposide for 8 weeks. Note the onset of necrosis and atrophied glomerulus (G). Large vacuoles (*) in the epithelium of tubules. Acute loss of brush border of the tubular lumen (thin arrow). Magnification taken (x 40). |