|  | 
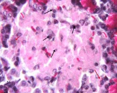
| Figure 15: A Photomicrograph of rat pancreatic tissue of the diabetic group showing decreased cellular density, the degenerated cells are showed with nuclear shrinkage and pyknosis (black arrows) mostly in the center of the islet. Notice pink stained alpha cells at the periphery of islet (red arrows). (chrome alum Hx. X400). |