![]() |
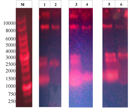
| Figure 4: Electrophoretic separation profiles of plasmid DNA’s from wildtype isolates and their cured derivatives. M: 1-kb DNA ladder; Lane 1: Lab2 WT; Lane2: Lab2CD; Lane 3: L11WT: Lane 4: L11CD; lane 5: L13WT; lane 7: L13CD. WT= wild-type, CD= cured derivative. |