![]() |
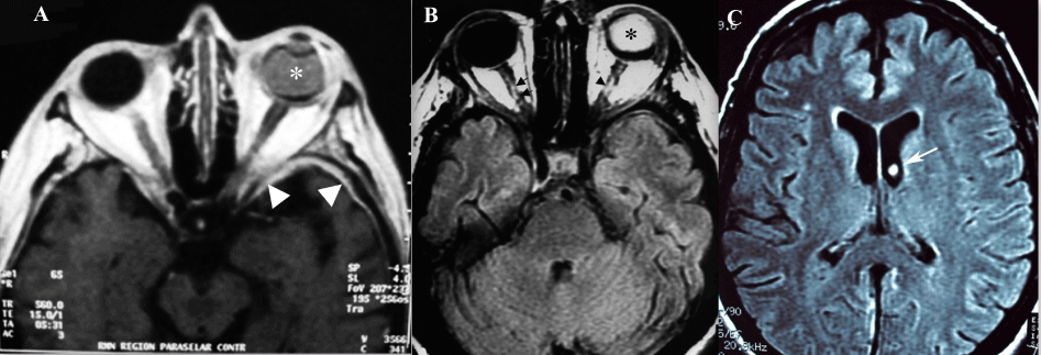
| Figure 1: (A) T1 weighted axial image with contrast shows: (a) hyperintense signal in the left eye consistent with the silicone oil placed for the retinal detachment (white asterisk), b) meningeal enhancement in the left temporal pole region (white arrowheads). (B) MRI FLAIR image shows: (a) hyperintense signal within vitreal cavity representing silicone oil in the left eye (black asterisk), and (b) hyperintense signal in the optic nerves on the right (double black arrows) and left (single black arrowhead), indicating inflammation and/or edema. (C) Round hyperintense signal in the left lateral ventricle with the same intensity as the contents of the left eye consistent with silicone oil (white arrow). |