![]() |
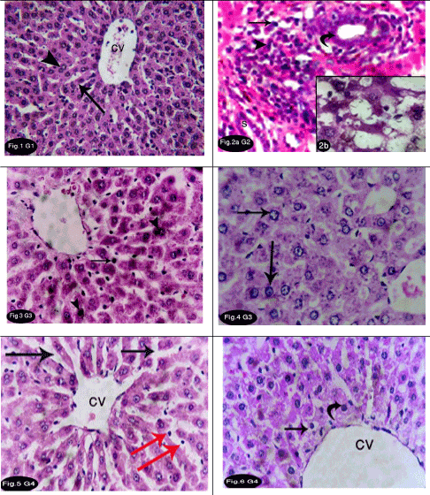
| Plate 1: Photomicrograph of liver sections of albino rats (H&E stain) from the following groups: Figure (1G1): (X 400). Figure (2 G2) (X 400). Figure (3 G 3 ) (X 400). Figure (4 G3) (X 400). Figure (5 G4 ) (X 400). Figure (6 G4) (X 400). (CV) central vein. (S) dilated blood sinusoid. |