|  | 
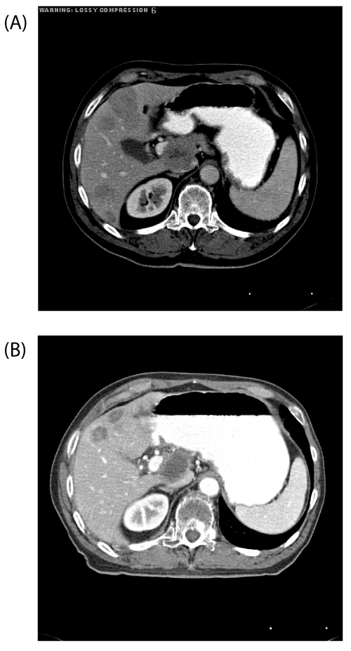
| Figure 3: A. Pretreatment diagnostic CT axial image of the patient in Figure 2. B. Post-treatment diagnostic CT axial image of the same patient at the same portion of the liver at 9 months after 90Y microsphere therapy, scored as a RECIST partial responder although no enhancement or lesion growth was ever seen in follow up. The software-estimated tumor dose was 86.6 Gy and normal liver was only 16.5 Gy; MIRD estimate was 43.7 Gy. The total activity delivered was 2.0 GBq, with tumor volume of 296.8 cc and normal liver 2109.3 cc. This patient did not experience any grade 1-3 toxicities. |