![]() |
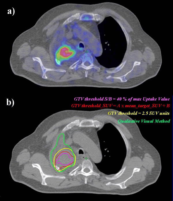
| Figure 1: Various thresholding methods for GTV outlining on a PET image: a) co-registered PET/CT slice image of NSCLC patient; b) various contours following several guidelines for GTV outlining on a PET image superimposed over the corresponding CT slice. |