![]() |
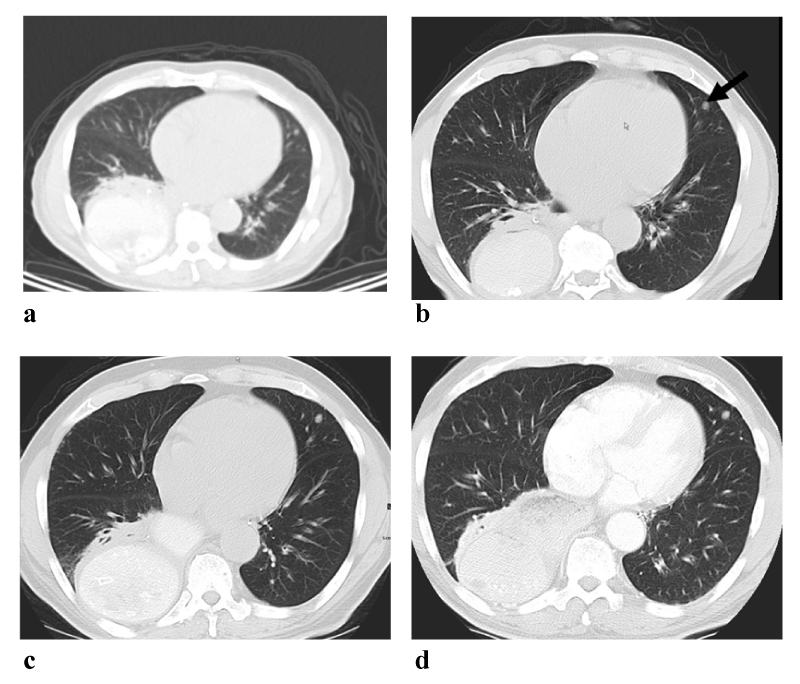
| Figure 1: a. A 0.6 cm pulmonary nodule (arrow) on NBH CT (from PET/ CT) in the left upper lobe which was missed by the radiologist. b. The radiologist identified the missed micronodule in the left upper lobe on BH CT chest (performed within 30 days of the NBH CT). c. Follow-up BH CT chest performed two years later shows mild increased in size of the left upper lobe nodule which measured 0.8 cm. d. Further follow-up BH CT chest performed 5 years later (from original NBH CT) showed the left upper lobe nodule to be stable and benign by imaging follow-up. |