|  | 
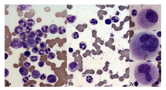
| Figure 2: Bone marrow aspirate. a. Myeloid maturation showing hypergranulation but is complete to granulocytic stage without dysplasia (40X, Wright-Giemsa). b. Some degree of hyperlobulation was evident on mature granulocytes (40X, Wright-Giemsa). c. Megakaryocytes appeared normal with only minor hypolobulation on a subset of cells (40X, Wright-Giemsa). |