![]() |
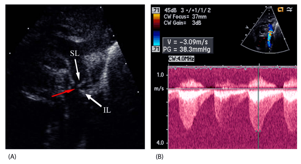
| Figure 1: A. 2D TTE demonstrating the coarctation ledge (white arrows) encompassing and narrowing the origin of the LSA (red arrow). B. Spectral Doppler interrogation demonstrating the double velocity envelope with antegrade flow in diastole consistent with coarctation of the aorta. The peak gradient across the coarctation is 38 mmHg. Key: 2D TTE – two dimensional transthoracic echocardiogram, IL – inferior aspect of the coarctation ledge, LSA – left subclavian artery, SL – superior aspect of the coarctation ledge. |