![]() |
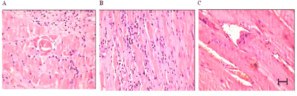
| Figure 1: Hematoxylin and Eosin staining of ischemic hind limb muscle sections at day 20 post-surgery in (A) PBS treated (B) EPC treated (C) eNOS-EPC treated group. Severe muscle necrosis, atrophy and inflammation are observed in PBS treated rabbits. EPC and eNOS-EPC treated animals show a significant reduction in muscle necrosis and atrophy in comparison to the PBS treated animals. |