![]() |
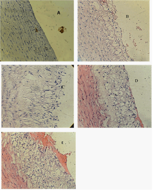
| Figure 2: A cross section of aortic arch from hypercholesterolemic rabbit represented atherosclerosis progression (x40). A: Normal arterial appearance, B: Initial atherosclerotic lesion characterized by lipid laden macrophage (foam cells), C: Intermediate atherosclerotic lesion characterized by extracellular lipid pool. D: Advance atherosclerotic lesion characterized by core of extracellular lipid and. E: Complicated atherosclerotic lesion characterized by haemorrhagic thrombus. |