![]() |
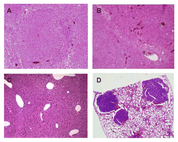
| Figure 6: Histological sections of liver tumors, pre-malignant livers and lung tumors of knock-out mice. A: Nodular hyperplasia of hepatocytes in neil1–/–mice; B: hepatocellular carcinoma in nth1–/– mice; C: Severe hepatocellular dysplasia in neil1–/–/nth1–/– mice; D: lung tumors in neil1–/–/nth1–/– mice (from ref. [137]). |