![]() |
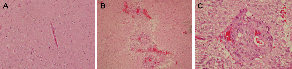
| Figure 5: Glomeruloid structures and endothelial proliferation in GBM. Comparison of normal brain at 20X (A) with GBM tissue at 10X (B), and 40X (C) demonstrates the presence of glomerular-shaped vascular walls within GBM. The leaky nature of these vessels may contribute to spread of the tumor cells. |