![]() |
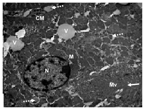
| Figure 22: Ultramicrograph of a section of kidney of rat exposed to Cd Cl2 for 8 weeks, showing cell of proximal convoluted tubule with rounded heterochromatic nucleus (N), basal elongated mitochondria (M), and thick enfolded cell membrane (CM) .disorganized apical microvilli (Mc) around the tubular lumen (arrow). The protoplasm appeared to be contains numerous vacuoles (V) and lysosomes (broken arrows). TEM mag. =8000X. |