![]() |
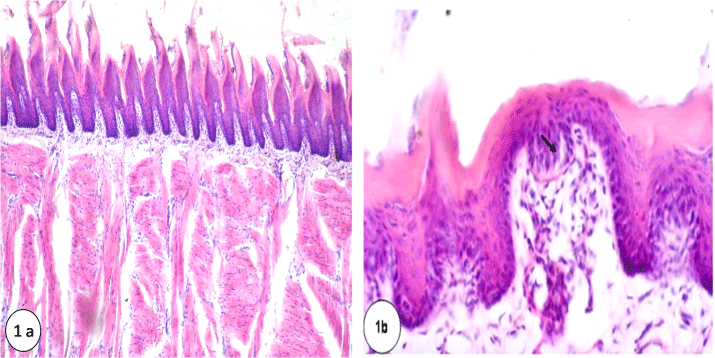
| Figure 1: Photomicrographs of the dorsal tongue surface of Sham group showing: (a) Sharp conical projections of filiform papillae with thin smooth keratinized epithelial covering (H & E X 100 ). (b) Fungiform papilla and taste bud (arrow) (H & E X 200). |