![]() |
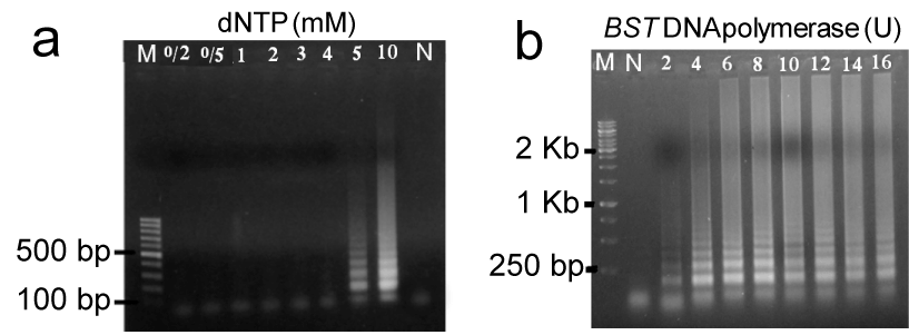
| Figure 4: Optimization of RT-LAMP reaction for detecting of PLRV: a) Effects of dNTPs concentration; 10 mM was selected as the optimized concentration; b) Effects of Bst DNA polymerase concentrations; 8U of enzyme was selected as optimized concentration. Lanes: M, 100 bp ladder; N, water control. |