![]() |
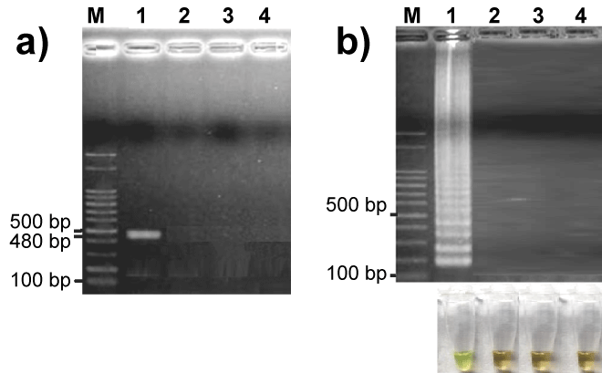
| Figure 5: Comparative analysis of the specificity of LAMP and PCR (a) Electrophoresis analysis of PCR; (b) Electrophoresis analysis and visual detection (SYBR Green I) of LAMP. Left to right: lane M, DNA size marker (100 bp; Fermentas); lanes 1 PVY; lane 2 PLRV; lane 3 CMV; lane 4 negative sample. |