![]() |
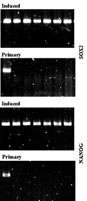
| Figure 8: Gene expression of OCT4 and NANOG of the human induced pluripotent stem cells was determined by quantitative reverse transcription polymerase chain reaction (qRTPCR). The cells expressing SSEA-4, SSEA-3, TRA-1-60, and TRA-1-81 were isolated from the induced cultures by magnetic activated cell sorting. The patients’ (encoded C001-005) cardiac or skin fibroblasts (lanes 3-7) were cultured (Primary) and induced into pluripotency (hiPSCs), while the human embryonic stem cells H1 (lane 1) and human fibroblasts IMR90 (lane 2) were the controls. All the samples were run in triplicates. The data are representative to all the samples run. The total RNA was isolated, reverse transcribed to cDNA, amplified by PCR, adjusted, and the amplicons electrophoresed. The human induced pluripotent stem cells (hiPSCs) were expressing the transcription factors, which are unique for undifferentiated pluripotent stem cells. These genes were not expressed in the primary culture human fibroblasts. |