![]() |
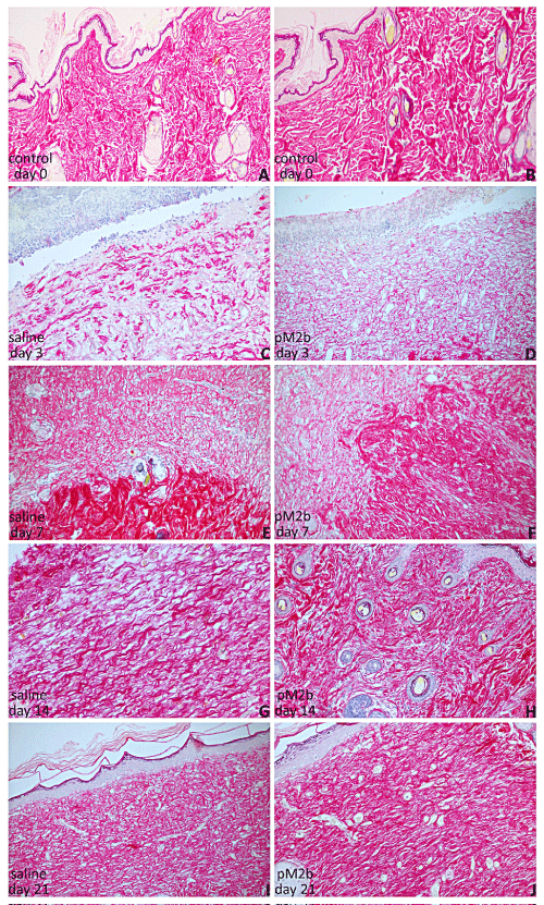
| Figure 3: Picrosirius stained sections of post-wounding recovering tissue. Full-thickness excisions from the wounding site topically treated with pM2b (50 μl, 230 nM) or saline were subjected to histological analysis.Slides containing mice skin were stained with picrosirius red, and examined by bright field. The samples dermis group controls showing thick bundles of collagen, stained in red. |