![]() |
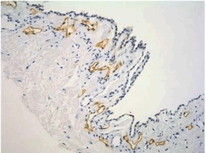
| Figure 4: Lymphatic vessels of subperitoneal tissue stained with D2-40 monoclonal antibody. Lymphatic vessels are distributing in the subperitoneal tissue between 1 to 80 micrometer from the peritoneal surface. Ly: lymphatic vessel, PM: peritoneal mesothelial layer (Figure 1, region 1) (from a 53 years-old patient of gastric cancer, of stage IV with ascites). |