![]() |
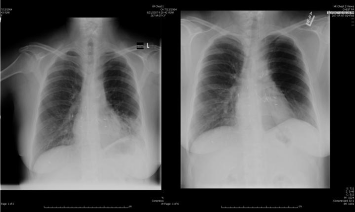
| Figure 1: 43 year old female with bilateral sequential lung transplant for IPF presents with persistent fever, chills and productive sputum despite oral antibiotics. Chest radiograph (left) indicates a new left lower lobe opacity/air space disease. Chest radiograph 6 weeks earlier (right) is viewed for comparison. Transbronchial biopsy revealed the presence of ISHLT grade A1 acute cellular rejection. |