![]() |
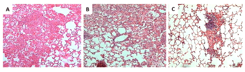
| Figure 7: Representative lung histopathology in non-vaccinated and vaccinated mice after 60 days of challenge with M. tuberculosis or M. bovis strains: A) Extensive areas of alveolar spaces are occupied by inflammatory cells corresponding to pneumonia in non-vaccinated animal infected by the intratracheal route with M. bovis AN5. B) Extensive lung consolidation is also observed in mutant mce-2A vaccinated mouse challenged with M. bovis AN5. C) In contrast, medium size patch of pneumonia is seen in mce-2A mutant vaccinated mouse challenged with M. tuberculosis H37Rv. (All figs 100x magnification, hematoxylin/eosine staining). |