![]() |
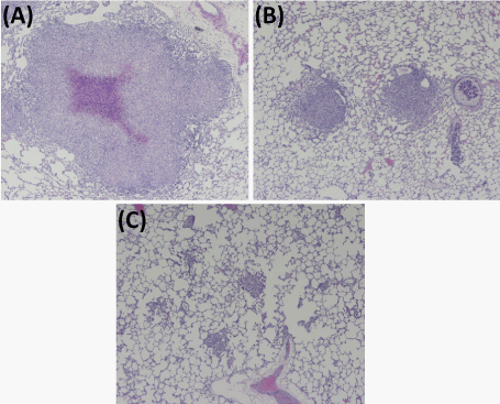
| Figure 4: Lung histopathology after bacterial challenge of guinea pigs immunized with different BCG formulations by different routes: (A) Untreated controls; (B) animals immunized with BCG powder suspension by the subcutaneous route; and (C) animals immunized with BCG dry powders by the pulmonary route. |