![]() |
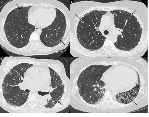
| Figure 1: Typical HRCT abnormalities in SSc-ILD. A. Pure ground glass opacities can be seen peripherally, predominantly in the right middle and left lower lobes; B. Subpleural thickened reticular markings are associated with traction bronchiectasis and bronchiolectasis; C. Ground glass opacities are mixed with fine reticular septal thickening diffusely; D. Extensive macrocystic honeycombing has replaced most of the left lower lobe and is associated with significant volume loss. |