![]() |
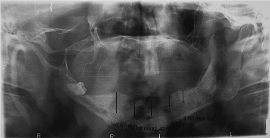
| Figure 4: Preoperative panoramic radiograph of the patient with 2D data planning for implantation; Characteristic finding- increase in bone density, enlarged mandibular foramen, lateral bowing of the mandibular ramus, increase in dimensions of the coronoid notch, and a decrease in the mandibular angle. |