|  | 
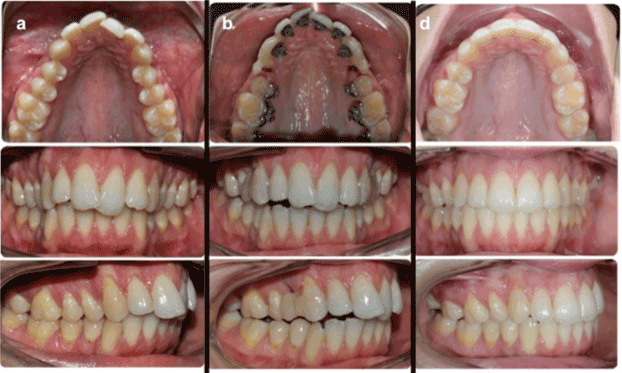
| Figure 6: Extraction treatment with upper premolar extraction to camouflage a severe Class II div 1 malocclusion. Composite pontics are built to cover extraction site during space closure. This is a case demonstrated the superior control lingual fixed appliances can offer in complex cases. This level of control is difficult to achieve with aligner treatment. |