|  | 
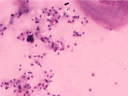
| Figure 2: Freeze dry section of a leech, thirty minutes after the infective blood feeding with Trypanosoma evansi. In the coelomic cavity are seen several clusters of trypanosomes localized in the anterior region of the leech close to the proboscis. Note several rounded forms together to trypomastigotes (arrow) (2.300 X). |