![]() |
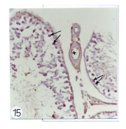
| Figure 15: Photomicrographs of testes sections of rats treated with insecticide mixture of (1/60 of LD50 of chlorpyrifose and 1/200 LD50 of fenitithione) showed signifi cant increase in the brown positive cells within the primary stages of germ cells (arrows). |