|  | 
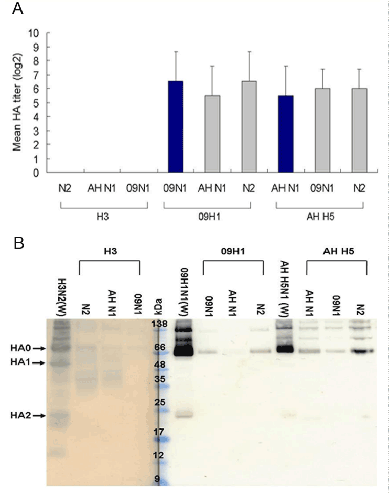
| Figure 3: Hemagglutination activity and HA incorporation status of pps. (A) Hemagglutination assay. Pps were diluted serially in twofold steps in a 96-well plate. Hemagglutination activity is expressed as the mean HA titer (log2 HA units/50µL) of each pps (n = 4). (B) Western blot analysis of HA in pps. Pooled pps of four repeat experiments for each combination were concentrated to assess the incorporation of HA in pps in nonreducing condition. The wild-type viruses HPAI H5N1 (A/Ahhui/1/2005), 2009 pandemic H1N1 (A/California/7/2009), and H3N2 (A/Brisbane/10/2007) were used as positive controls. |