|  | 
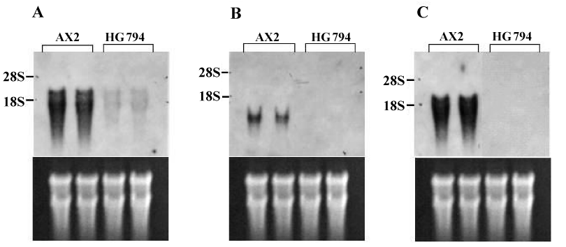
| Figure 4: Northern blotting analysis for DD3-3 (A), 7-1 (B), and 8-14 (C). North- ern blotting analysis was conducted using each cDNA probe labeled with DIG. Total RNA was prepared from wild-type AX2 or mutant HG794 cells developed for 3 h after starvation, and applied in duplicate upon each line. The mem- branes were incubated with each DIG-labeled cDNA probe in upper panel. In each lower panel, agarose gels were stained with EtBr to confirm that the same amount of total RNA was applied to each lane. |