![]() |
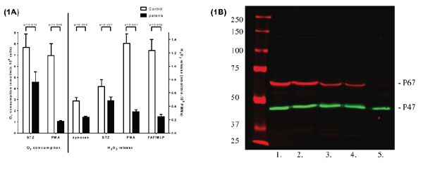
| Figure 1: Characteristics of patients’ neutrophils. (A) NADPH-oxidase activity. Neutrophils were incubated with serum-treated zymosan (STZ, 1 mg/ml, 70 particles per neutrophil) or PMA (100 ng/ml), and the oxygen consumption was measured with an oxygen electrode (10). The maximal rate of oxygen consumption of patient cells is displayed in nmoles/min/106 cells. Alternatively, the release of hydrogen peroxide from the cells was measured with the Amplex Red assay (14) after stimulation with zymosan (1 mg/ml), STZ (1 mg/ml), PMA (100 ng/ml or PAF (1 μM) followed by fMLP (1 μM). The maximal rate of H2O2 release is displayed as nmoles/min/106 cells. Open bars, control neutrophils; closed bars, patient neutrophils (patients A1, A2, and B). Mean ± SEM of 3 (oxygen consumption) or 4 (H2O2 release) independent experiments (in the H2O2 release assay, one patient was tested twice). Significance of differences was calculated with the paired, two-tailed ttest. (B) Western blot of p67phox and p67phox. Neutrophils from a control donor (lane 1), patient B (lane 2), patient A1 (lane 3), patient A2 (lane 4) and a CGD patient with a p.Trp137Arg mutation in p67phox (lane 5) were lysed and subjected to SDS-PAGE as described under Methods. The proteins were blotted onto nitrocellulose, treated with antibodies to p67phox and to p67phox and visualized by fluorescence. The lower (green) band indicates the presence of p67phox, the upper (red) band the presence of p67phox. |