|  | 
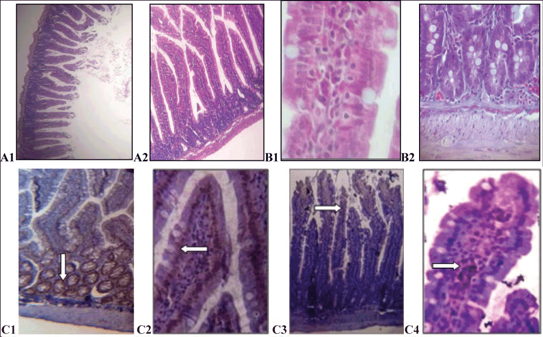
| Figure 1: Saline/distilled water treated group: In the two studied periods, day 8 (A) and day 12 (B), the mucosa of the jejunum forms fingerlike projections (A1, H&E ×40, A2, H&E ×100) comprising the epithelium and lamina propria. The predominant cell in the epithelium is composed of columnar cells with basally located nuclei which are evenly aligned. Interspersed between the enterocytes are the oval, mucins secreting goblet cells. The villi have a connective tissue core contain mononuclear cells, smooth muscle fiber and blood vessels (B1, Trichrome ×400). Deep cavities, the crypts of Lieberkühn, are present between the villi (B2, Trichrome ×400). Strong Ki-67 immuno reactivity in nuclei of cells of crypt, arrow (C1, immunohistochemistry ×100) and villi, arrow (C2, immunohistochemistry ×400). Moderate cytoplasmic reaction to Bcl-2 mostly seen in lamina propria, arrows (C3 immunohistochemistry ×100, C4, immunohistochemistry ×400). |