|  | 
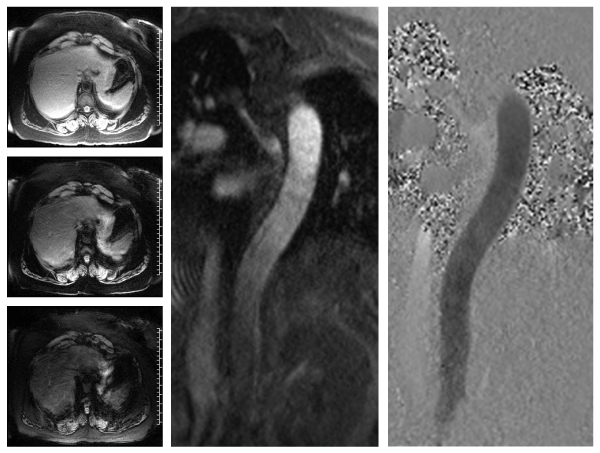
| Figure 1: Left panels: Images obtained at serial echo times (top: 1.9 ms, middle: 5 ms, bottom: 8.1 ms) from a tranverse plane abdominal multiecho gradient echo acquisition show the images used for liver T2* computation, a wellvalidated noninvasive technique to estimate liver iron content. In the absence of secondary causes of hepatic iron overload, liver iron content may be considered a suitable surrogate for total body iron. Middle panel: magnitude image showing a longitudinal section of the descending aorta. Right panel: velocity-encoded image showing in-plane velocities in the descending aorta, from which pulse wave velocity is calculated. |