![]() |
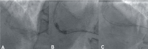
| Figure 2: A - Appearances of the artery following intial stent deployment. The under-deployed stent is clearly visible. B - The double balloon technique for post-dilatation of the under-deployed stent. C - Appearance of the stent following stentablation, with the interrupted stent struts visible. |