![]() |
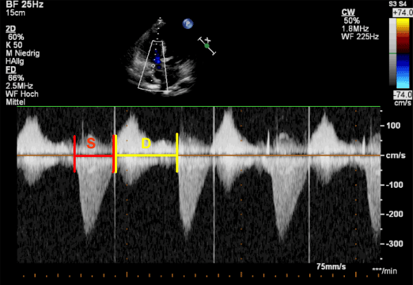
| Figure 5: Apical 4-chamber view. Doppler-derived tricuspidal regurgitation time (TR) interval ratio of systolic (S) duration to diastolic (D) duration (S/D) The ratio of S/D duration was calculated by dividing the duration of the TR spectral Doppler flow pattern by the time interval of the cardiac cycle that did not include TR. Systolic and diastolic duration using TR duration was measured by CW-Doppler from the apical 4-chamber view to calculate the S/D ratio. The red lines show the systolic duration, the yellow lines show the diastolic duration. |