![]() |
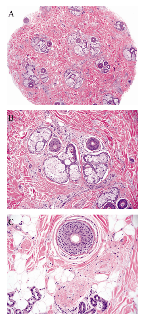
| Figure 6:(A) Biopsy from a patient with traction alopecia reveals a slightlyreduced follicular density, follicular miniaturization, and retained sebaceousglands (hematoxylin-eosin, original magnification x 40). (B) Follicularminiaturization and retained sebaceous glands (hematoxylin-eosin, originalmagnification x 100). (C) Many fibrotic fibrous tracts (lower half) were present (hematoxylin-eosin, original magnification x 200). |