|  | 
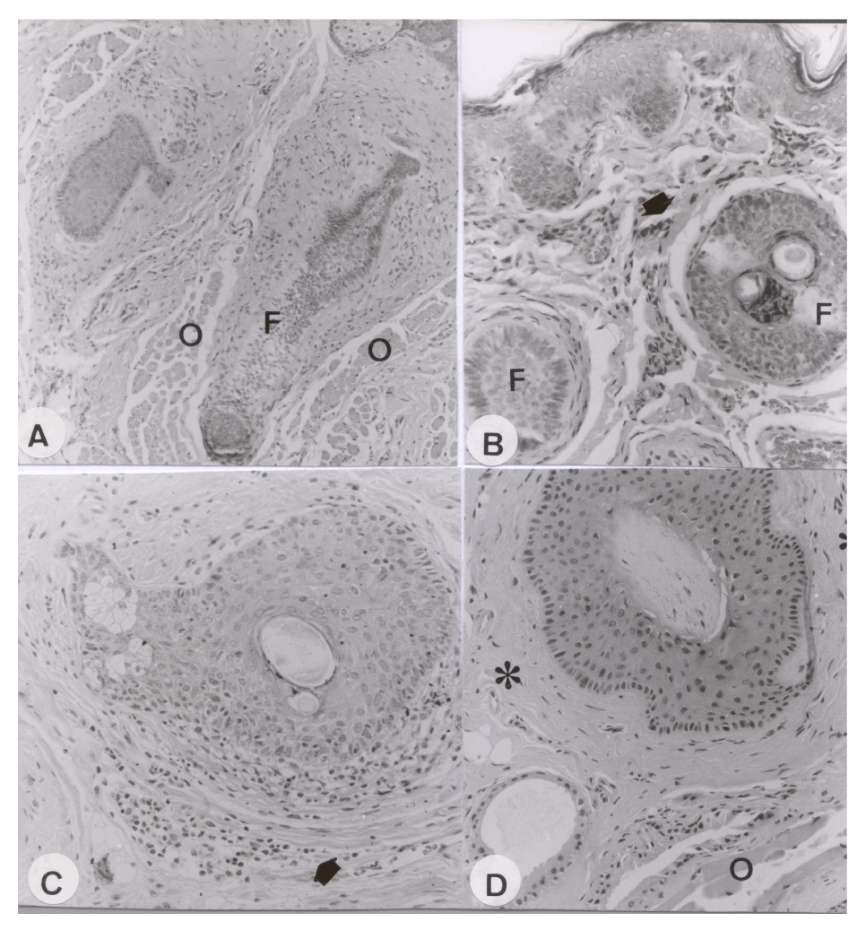
| Figure 1: Lower lid of an involutional ectropion carrier: (A) The conjunctival substantia propria with inflammatory infiltrate (arrow) (HEX20); (B) Meibomium glands (M) surrounded by orbicularis muscle (O) and inflammatory infiltrate in the intersticium (HEX40); (C) Inflammatory cells and fibrosis (*) around the eyelid glands ( HEX40); (D) Fibrosis (*). Orbicularis muscle (O) around glands (HE X100). |