|  | 
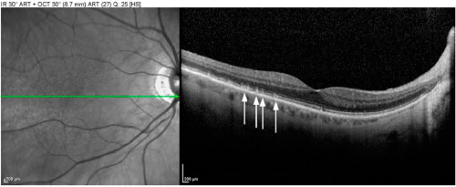
| Figure 4: Pseudo-drusen are best distinguished from standard drusen via optical coherence tomography. Whereas cuticular drusen and soft drusen appear as round punctate accumulations under the retinal pigment epithelium (RPE), pseudo-drusen (or subretinal drusenoid deposits) are interconnected accumulations above the RPE. |