![]() |
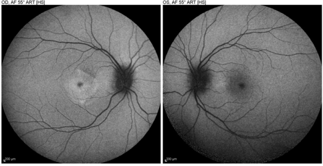
| Figure 8: FAF of both eyes at week one. FAF at one week demonstrated subtle linear areas of hyper-autofluorescence corresponding to the macular star spokes emanating from the fovea surrounded by a larger rim of hyperautofluorescence in the right eye, which highlighted the extent of the subretinal fluid. FAF of the left eye showed a focal area of hyper-autofluorescence temporal to the disc, without extension into the perifoveal territory. |