![]() |
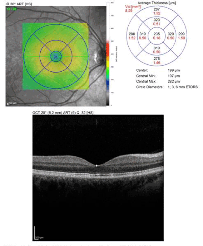
| Figure 10: SD-OCT of the right eye at three months. SD-OCT image of the right eye at three months revealed normalization of the foveal contour, clearance of the hyper-reflective intraretinal deposits and resolution of the hypo-reflective subretinal fluid. |