![]() |
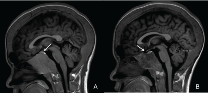
| Figure 2: MRI of the orbit and brain. (A) Sagittal T1-weighted showing massive expansion of marrow originating from clivus, obliterating bilateral sphenoid sinuses and pituitary fossa. Pituitary gland is also displaced upward from the tumor-like expansion of marrow (arrow). Enlargement of the diplopic space of calvarium is also depicted. (B) Sagittal T1-weighted showing reduction in the size of tumor-like expansion with visible pituitary fossa (arrow). |