|  | 
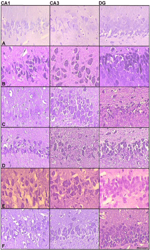
| Figure 2: CA1, CA3 and dentate gyrus areas of hippocampus; A: Hyperthermia and saline (group 2); B: Pilokarpin and saline (group 3); C: Hyperthermia, pilokarpin and saline (group 4); D: Hyperthermia and propofol (group 5); E: Pilokarpin and propofol (group 6); F: Hyperthermia, pilokarpin and propofol (group 7). Scale bar, 25 μm. |