![]() |
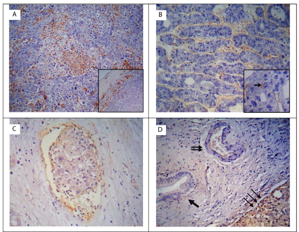
| Figure 4: Macrophage count and microvessel density in HCC and adjacent non-neoplastic liver tissue: (A) A dense population of CD68 positive macrophages infiltrating among hepatocellular carcinoma cells, with greater density at the periphery of the tumour (inset); (B) Highlighted microvessels by CD105 in hepatocellular carcinoma showing sinusoid-like, and branching patterns of expression. Inset: a small endothelial sprout without apparent lumen demonstrating positive CD105 expression (arrow); (C) Positive staining for CD105 in vascular endothelium of a vessel showing a tumour embolus from hepatocellular carcinoma; (D) Branch of bile duct (thick arrow) and hepatic artery (double arrows) not stained by CD105, in contrast to microvessels of the adjacent hepatocellular carcinoma seen at the lower right (arrows). Original magnifications: (A) x100; (B) x200, inset x400; (C) x400; (D) x 200. |