|  | 
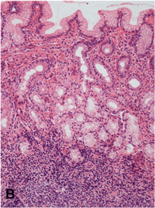
| Figure 2B: Gastric antral mucosa-H pylori-induced chronic gastritis, with marked inflammatory infiltrate in the lamina propria and presence of a lymphoid follicle (arrow). The glands are preserved (arrowheads) although separated by the infiltrate. (H&E, x200). |