|  | 
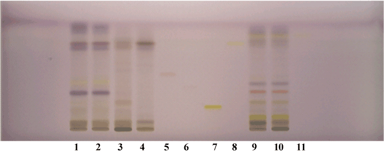
| Figure 8: HPTLC analysis of Cynara scolymus and Cassia senna extracts obtained in two different working times (12 hours and 21 days), compared with specific standard. Mobile phase: THF, toluene, formic acid, water (16:8:2:1); Derivatization: Anisaldehyde. Visualization: white light.Tracks: 1,2 extracts of artichoke after 12 hours and 21 days, respectively (differences are minimal), 3,4 extracts of artichoke from the market, 5 cynarine 6 chlorogenic acid, 7 rutin, 8 luteolin, 9,10 extracts of senna after 12 hours and 21 days, respectively (differences are minimal), 11 rhein (not visible in these conditions). |