![]() |
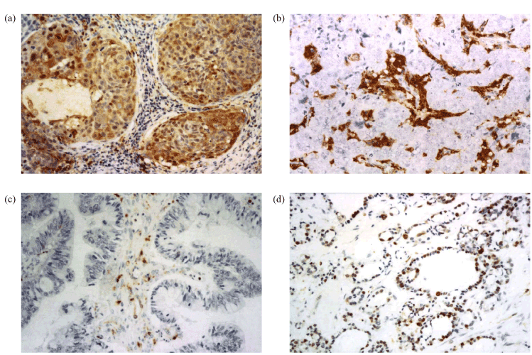
| Figure 1: Immunohistochemical staining of squamous cell carcinoma with an anti-dThdPase mAb. (a) Uterine cervical carcinoma, (b) a serous papillary carcinoma of the ovary, (c) a mucinous adenocarcinoma of the ovary, and (d) a clear cell adenocarcinoma of the ovary. |