![]() |
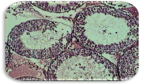
| Figure 1e: Photomicrograph of a cross section from 48 hour recovery (hematoxylin and eosin staining). Seminiferous tubules showing sloughing and disorganization. Damage is at the level spermatozoa, spermatids and some spermatocytes. The interstitial is disorganized and contains some blood. Magnification 10 X. |