![]() |
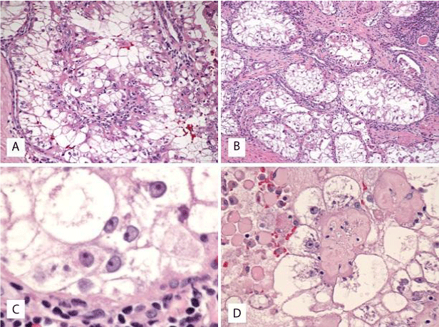
| Figure 1: A: Translocation renal cell carcinoma. Note papillary architecture. Hematoxylin-eosin stain. 100x. B: Translocation renal cell carcinoma. Note nested architecture. Hematoxylineosin stain. 100x. C: Translocation renal cell carcinoma. Note voluminous clear cytoplasm, vesicular nuclei, and prominent nucleoli. Hematoxylin-eosin stain. 400x. D: Translocation renal cell carcinoma. Note stromal nodular hyalinosis. Hematoxylin-eosin stain. 200x. |